
一、部门简介:
医学影像科现有专业技术人员33人,其中高级职称5人,中级职称15人。 科室是武汉市临床重点专科、武汉市医学会放射科专业委员会继续教育基地、湖北省首批住院医师规范化培训基地、北京天坛医院联盟成员,武汉协和医院、同济医院。






医学影像科设有普通放射学、CT、磁共振和介入技术专业,全面负责医院门诊、急诊和住院患者的放射影像诊断和治疗。 科室拥有多种先进的大型影像诊疗设备,包括西门子3.0T磁共振、GE 1.5T磁共振、东芝320排动态容积CT、GE 16排螺旋CT、飞利浦大平板血管造影等科室建设了PACS系统,实现了数据数字化管理,大大提高了放射检查质量和诊断水平,并为精准医疗提供了循证基础。

西门子Skyra 3.0T磁共振



GE Explorer 1.5T 磁共振



东芝 Aquilion ONE 320 排动态容积 CT



飞利浦FD20大型平板血管造影机



岛津G4多功能数字胃肠机


2、技术特点:
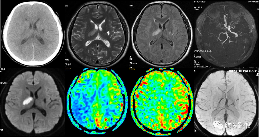
1、缺血性中风一站式CT检查:
320排CT的应用,只需注射一次造影剂即可完成所有检查(包括CT平扫、CTA、CTP),检查时间显着缩短,患者受辐射剂量显着降低。 CT扫描可以确定中风的类型; CTA可有效评估脑动脉狭窄程度及侧支血流,排除动脉瘤及血管畸形; CTP可以显示脑组织中与神经损伤相对应的局部灌注缺损区域。

2.脑血管病MR多模态检查:
DWI序列对早期脑梗死的诊断具有较高的敏感性; SWI序列可以检测颅内微出血,对指导临床治疗具有重要作用; 3D-ASL序列可评估脑侧支循环; MRA不需要注射造影剂即可进行脑血管成像。

3、4D-CTA技术评估脑动脉瘤破裂风险:
利用心电门控结合4D-CTA成像技术监测动脉瘤壁上的异常搏动点(如球囊吹胀前的局部薄弱点)。 如果在一个心动周期内发现动脉瘤壁上存在异常搏动点,动脉瘤破裂的风险就会显着增加。

上图所示为一名动脉瘤破裂出血的患者。 红色箭头表示动脉瘤壁的异常搏动点(即破裂口)。
4. MRI高分辨率血管壁成像:
可以识别颈动脉不稳定斑块的特征(如纤维帽薄、脂核大、斑块内出血、溃疡、炎症等)并指导临床治疗。

左侧颈内动脉起始部形成斑块医学影像学简历,有大的脂质核心(红色箭头)和少量钙化(绿色箭头)。 表面纤维帽不完整(黄色箭头),被认为是易损斑块。
5.双低CT血管成像:
采用低剂量扫描和低造影剂剂量可以获得高质量的图像,降低患者发生放射和造影剂肾病的风险。
冠状动脉CTA

肺动脉CTA

头颈动脉CTA

下肢动脉CTA

6. MR周围神经成像:
评估臂丛或腰骶丛的病变,如神经卡压综合征、血肿或肿瘤压迫神经、神经损伤等。
磁共振臂丛神经成像

MR腰骶丛成像

7.脑肿瘤MR多模态检查:
可以在术前对脑肿瘤的良恶性、侵袭范围及相关分子生物学特征做出更准确的判断,为临床确定治疗方案、手术方法、评估预后和临床治疗目标提供影像学依据。

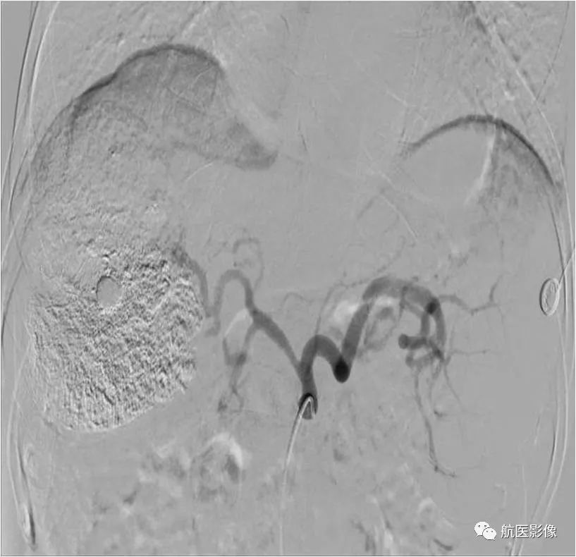
8.肝癌经导管动脉化疗栓塞术(TACE):
将导管超选择性插管至肝癌供血动脉,给予含有化疗药物的碘油乳剂、微球、PVA、明胶海绵等,栓塞肝癌供血动脉分支,阻断血液供给以达到治疗肿瘤的目的。
栓塞前血管造影

栓塞后血管造影(肿瘤供血动脉闭塞)

9、下肢动脉球囊扩张+支架植入术:
下肢动脉球囊扩张+支架植入是治疗下肢动脉狭窄或闭塞最重要的治疗方法。 具有创伤小、恢复快、效果明显、并发症少等优点。

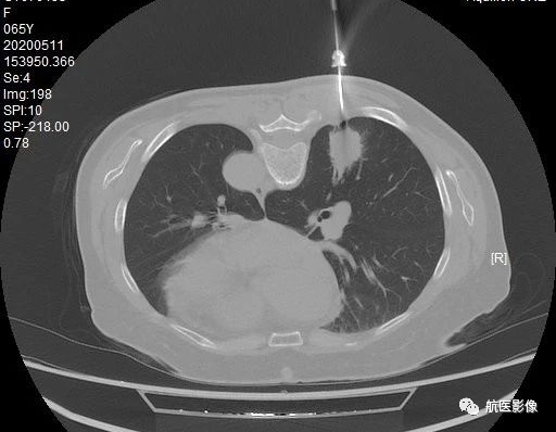
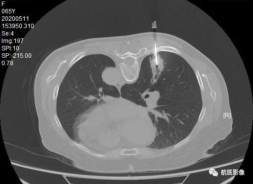
10. CT引导下肺活检:
利用CT定位引导肺穿刺抽吸或切针活检获取病理组织是一种微创、安全、准确的检查方法。 对于临床肺部病变的定性诊断、治疗方案的制定和预后的评估非常有用。 价值。


三、科研工作:
近年来,部门技术骨干主持省、市、科委局级科研项目8项,参与多项国家级重大科研项目,荣获科委职工创新成果一等奖局及科学技术二等奖、三等奖。 在SCI及北大核心期刊发表学术论文70余篇,多篇论文被北美放射学会年会、日本放射学会年会和中国放射学会年会收录,成功申请5项国家新实用专利,1名医生入选“武汉市中青年医学骨干培养项目”。



四、专家介绍:

范文辉,医学影像科主任、主任医师。 中华医学会影像技术分会急诊影像技术委员会委员、湖北省医学会放射学分会委员、湖北省医师协会放射学分会委员、中华医学会介入医学分会委员湖北省医学会、湖北省抗癌协会介入肿瘤专业委员会委员。 武汉市医学影像质量控制中心专家、武汉市医疗事故鉴定专家。 曾就读于德国埃森大学医院诊断介入放射学与核医学研究所。 擅长胸、腹、盆腔等身体部位肿瘤、出血性疾病的介入栓塞治疗,以及脑血管造影、下肢动脉狭窄、闭塞等周围血管疾病的球囊扩张、支架置入治疗; 擅长胃肠钡餐造影、子宫输卵管造影、尿路造影等特殊X线影像检查; 擅长中枢神经系统及腹部疾病的磁共振诊断,对癫痫等中枢神经系统功能性疾病的多模态磁共振成像、乳腺疾病的多模态磁共振成像及诊断有深入研究。 在中文核心期刊发表论文30余篇,参与多项科研项目,获中国船舶管理局科学技术奖二等奖1项、三等奖1项。

都柏林医学影像科首席专家、主任医师。 武汉市医学会放射学分会常务委员、武汉市医学会放射学分会副主任、武汉市医学影像质量控制中心副主任、湖北省放射质量控制专家、武汉市医疗事故鉴定专家、《 《临床放射学杂志》委员,长航航空系统优秀技术人才。 在放射科从事临床、科研和教学工作40年。 对神经肿瘤、脑血管病变、创伤、先天性发育异常等疾病的CT、MR诊断有丰富的临床经验。 在中文核心期刊发表论文60余篇,参与多项国家级科研项目,其中中国船舶管理局科学技术二等奖3项、三等奖1项。

梁毅,医学影像科副主任、副主任医师,医学硕士学位。 湖北省医学会放射学分会青年委员会委员、武汉市医学会放射学分会青年委员会委员、湖北省抗癌协会肿瘤影像专业委员会委员武汉市医师协会放射科分会委员,武汉市中青年医学骨干人才。 现任科室心胸科主任。 擅长血管疾病CT诊断,在中文核心期刊发表论文20余篇。 参与多项国家、省、市级项目,主持武汉市卫健委、长江航管局科研项目2项,获科学技术二等奖1项、三等奖1项长江航务管理局。

胡庆华,医学影像技术主任、副主任技师。 从事放射影像工作30年,擅长心脑血管DSA成像技术和CT图像后处理技术。 在中文核心期刊发表论文10余篇,合编专着1部。 参与多项科研项目,获中国船舶局科学技术二等奖1项。

王佳,副主任医师,医学硕士。 武汉市医学会放射学分会青年委员会委员、湖北省临床肿瘤学会脑胶质瘤专家委员会委员。 系神经内科组组长。 专注于MR影像诊断,尤其是脑肿瘤MR多模态诊断技术。 在中文核心期刊发表论文20余篇。 曾赴北京天坛医院、武汉同济医院进修。 主持武汉市卫健委、长江航务局科研项目2项,获长江航务局科学技术二等奖1项、三等奖1项。

陶竞雄,主治医师,医学学士。 武汉市医学会放射学分会委员。 骨科骨肌学组组长。 擅长CT影像诊断医学影像学简历,尤其是骨关节退行性疾病、运动损伤的影像诊断。 在中文核心期刊发表论文10余篇,合编专着1部。 曾赴北京天坛医院、武汉协和医院进修。 参与多项科研项目,获中国船舶局科学技术二等奖1项。

杨薇薇,主治医师,医学硕士。 武汉市医师协会放射科医师分会介入治疗专业组委员。 腹部科主任。 擅长消化道肿瘤介入治疗、外周血管DSA造影及治疗、CT血管影像技术、CT引导下针吸活检等。 曾在武汉协和医院学习介入技术。 在中文核心期刊发表学术论文10余篇。 主持武汉市卫健委科研项目1项,获得长航局科学技术二等奖1项。

王进贤,主治医师,医学学士。 擅长腹部疾病的影像诊断,对肝脏、胰腺、腹膜后疾病的诊断有独到的见解。 在中文核心期刊发表论文多篇,主编专着一部。 曾就读于武汉协和医院,参与多项科研项目。

张新丽,主治医师。 擅长胸部疾病X线诊断、胃肠道X线检查,发表多篇学术论文。 曾就读于武汉同济医院。 参与多项科研项目。
☆完☆
航空医学影像咨询热线:027-82451207